Pathology
The 2025 Tri-State Pathology Conference took place October 4-5 at the New Orleans Marriot in Louisiana, hosted by the Louisiana Pathology Society, in conjunction with the Mississippi Association of Pathologists and the Alabama Association of Pathologists.
In the face of a bacterium that easily resists common antibiotics, members of UAB established testing to identify it in human disease. Mycoplasma, that is. Mycoplasmas are the smallest free-living organisms. They can cause drug-resistant bacterial infections that target various parts of the body, including respiratory and urinary systems and genitalia. Mycoplasmas commonly cause lung infections and often require a special antibiotic to treat the bacterium. Most antibiotics weaken bacteria by penetrating their cell walls. Mycoplasmas, however, don’t have cell walls to weaken.
The Department of Pathology is thrilled to announce Oyedele Adeyi, M.D., FRCPC, as director of the Division of Anatomic Pathology, effective June 6, 2025. Adeyi joins the department from the University of Minnesota Medical School where he served as professor since 2019 and as director of surgical pathology. Prior to his appointment at Minnesota, Adeyi joined the University of Toronto in Canada as an assistant professor in 2006 and was promoted to associate professor in 2014.
Adeyi Oyedele, M.D., FRCPC, Division Director, Anatomic Pathology, will serve as section head of Gastrointestinal Pathology and director of the GI fellowship program, effective July 15.
Erin Eun-Young Ahn, Ph.D., a professor in the Division of Molecular and Cellular Pathology, has been named a 2025 Termeer Scholar. The Termeer Scholars Program provides mentoring, networking, and coaching for academic researchers, with the goal of helping them translate bench science into real-world impact for patients.
Falone Amoa, M.D., M.S., a PGY5 and Ph.D. candidate in the UAB Department of Pathology, has recently been named a Society of '67 Kinney Scholar by the Association for Academic Pathology (AAPath). This award is for pathology residents and medical students who demonstrate the potential for leadership in academic pathology. Amoa is 1 of 5 residents and 8 medical students selected from across the United States.
Falone Amoa, M.D., M.S., PGY5, and Damien Roland, M.D., M.S., PGY3, were recently named 2025 Future of Pathology Award recipients by the National Medical Association. The Future of Pathology Award was established in 2020 with the goal to recognize and reward minority students and trainees who have a special interest in the field of pathology.
Two physician-scientist trainees in the Department of Pathology participated in the UAB Global Health Symposium on October 29 and 30. Chiamaka Umah, M.D., PGY3, and Falone Amoa, M.D., M.S., a PGY5 and Ph.D. candidate in the laboratory of Upender Manne, Ph.D., M.S., participated in a range of engaging sessions to gain insights into innovative applications of artificial intelligence across diagnostics, health systems, disease surveillance, and more.
On January 21, the UAB Department of Pathology honored Peter Anderson, D.V.M., Ph.D., Professor Emeritus, Division of Molecular and Cellular Pathology, with a reception celebrating his retirement featuring colleagues, family and friends of Dr. Anderson.
The Department of Pathology is thrilled to announce a new faculty member joining our team July 1.
Peter Anderson, D.V.M., Ph.D., professor emeritus in the Division of Molecular and Cellular Pathology, delivered one of the inaugural lectures for a new certificate program offered by the Association of Academic Pathology (AAPath) at its annual meeting in Denver, Colorado, in July. This program is designed for health science faculty at all levels of experience who seek professional development to enhance their teaching effectiveness, expand their knowledge and expertise in curricular development and advance their careers as health science educators.
Paul Benson, M.D., Professor, Autopsy Section Head, Anatomic Pathology, attended the Third Annual International Post-Tuberculosis Symposium at the STIAS Institute in Stellenbosch, South Africa, April 14-16. Benson joined his collaborators Adrie Steyn, Ph.D., Professor, UAB Microbiology, Africa Health Institute, and Threnesan Naidoo, MBChB, MSc, LLM, Professor, Water Sisulu University, Eastern Cape, South Africa.
Rati Chkheidze, M.D., an assistant professor in the Division of Neuropathology, has been appointed section head of neuropathology, effective July 1. Chkheidze joined the UAB Department of Pathology in 2020 from the University of Texas Southwestern Medical Center, where he completed a neuropathology fellowship following his anatomic and clinical pathology residency. Originally from the country of Georgia, he graduated from Tbilisi State Medical University in 2007. Before joining the University of Texas Southwestern Medical Center, he worked as a senior visiting scientist in the Department of Neurology and Neurotherapeutics until 2014. His research interests focus on image analysis and machine learning applications in neurodegenerative and tumor neuropathology, and brain banking.
The UAB Department of Pathology is excited to announce our chief residents for the 2026-27 year and thank our 2025-26 chiefs.
The Department of Pathology is thrilled to announce a new faculty member joining our team August 1.
Melad Dababneh, M.B.B.S., Assistant Professor, Anatomic Pathology, will serve as section head of Head and Neck Pathology, effective June 1. Dababneh joined the UAB Department of Pathology in 2024 from Cleveland Clinic Foundation’s Robert J. Tomsich Pathology and Laboratory Medicine Institute where he completed his fellowship in head and neck pathology.
Gregory Davis, M.D., M.S.P.H., Division Director, Forensic Pathology, was installed as the 2025-2026 president of the American Society for Clinical Pathology during the annual meeting on November 17-20 in Atlanta, Georgia.
The UAB Department of Pathology launched its digital pathology initiative in November 2024. Today, the effort is only gaining momentum. The program’s implementation is scheduled to be completed by June 2026, but the journey has only just begun.
The Department of Pathology is pleased to announce a new faculty member joining our team, effective January 15.
The Department of Pathology is pleased to announce a new faculty member joining our team, effective June 1. Taru S. Dutt, Ph.D., is joining the Division of Laboratory Medicine as an assistant professor. Dutt joins us from Colorado State University where she served as a research scientist I and as co-director of the Flow Cytometry and Single Cell Sequencing Core since 2022.
The Department of Pathology is pleased to announce the promotion and tenure of eight of our esteemed faculty colleagues for 2025, effective October 1, 2025.
Chronic granulomatous fungal sinusitis is a rare, debilitating infection characterized by an enlarged mass in the nasal cavity or sinuses, facial pain and swelling, eye bulging, vision problems, headache and nasal congestion. While most cases are found in subtropical regions of Sudan, India, Pakistan and Saudi Arabia caused by Aspergillus flavus, a pathogenic fungus, cases have recently been identified in the Southeastern United States caused by Curvularia, an emerging pathogen.
Several Research and Clinical Experience in Pathology (RaCE4Path) students presented posters at the 2025 UAB Heersink School of Medicine Dale J Benos Medical Student Research Day on September 15 and the UAB Undergraduate Research Expo on July 24.
The Department of Pathology is thrilled to announce four faculty’s new appointments to endowed positions. Oyedele Adeyi, M.D., FRCPC, has been named the second holder of the C. Bruce Alexander Endowed Professorship in Pathology. Selvarangan Ponnazhagan, Ph.D., has been named the second holder of the Jay M. McDonald, M.D., Endowed Chair in Laboratory Medicine. Lalita Shevde-Samant, Ph.D., has been named the second holder of the Endowed Professorship in Experimental Cancer Therapeutics. Thomas Winokur, M.D., has been named the second holder of the Robert W. Mowry, M.D., Endowed Professorship in Pathology.
In a molecular diagnostic laboratory, having a system for tracking specimens, or assays, is integral to workflow efficiency and accuracy. Although streamlining this process often proves to be challenging, members from the Division of Genomic Diagnostics and Bioinformatics in the UAB Department of Pathology have developed the In-house Lab Assay Database (ILAD) to customize and expedite specimen tracking.
Researchers in the Division of Genomic Diagnostics and Bioinformatics recently developed three new laboratory tests: IDH1 R132 Mutation Analysis, TERT Promoter Mutation Analysis and MLH1 Methylation Analysis by Methylation-Specific PCR and MassArray. These tests help provide more accurate diagnoses and support the development of effective treatment plans.
The UAB Department of Pathology celebrated the 30th year of its Paulette Shirey Pritchett Endowed Lecture in Pathology on September 25 with an outstanding lecture by Mark T. Gladwin, M.D., Dean, University of Maryland School of Medicine, Vice President for Medical Affairs, University of Maryland, and the John Z. Akiko K. Bowers Distinguished Professor and Dean. Gladwin delivered the talk, titled, “Translating Redox Biology to Medicine: Lessons Learned, Taking Risks, and Going NO Where.”
About half of Americans between 45 and 84 have atherosclerosis without knowing it. Diseases linked to atherosclerosis are the leading cause of death in the United States. The condition develops when fats, cholesterol and other substances form plaque in the arteries. As plaque builds, arteries narrow and block blood flow, or can burst, which may lead to blood clotting. The initiation and progression of atherosclerosis are largely driven by genetic and environmental risk factors, but in between, how epigenetic regulation contributes to this pathogenesis remains largely unknown.
The UAB O’Neal Comprehensive Cancer Center announced its latest O’Neal Invests grant awardees, of which two faculty from the Department of Pathology are included. O'Neal Invests funds UAB investigators initiating new cancer-related projects to do key preliminary work to enable competitive extramural applications.
Andrea Kahn, M.D., a professor in the Division of Women's Health and section head of gynecologic pathology (GYN), will assume the interim role as medical director for the Department of Pathology's histology and immunohistochemistry laboratories in the Division of Anatomic Pathology, directed by Oyedele Adeyi, M.D., FRCPC, effective December 15, 2025.
Michel Kmeid, M.D., will join the Division of Anatomic Pathology as an assistant professor, effective August 1. Kmeid joins us from the Cleveland Clinic Foundation in Ohio, where he served as a head and neck pathology fellow since 2024.
Michel Kmeid, M.D., an assistant professor in the Division of Anatomic Pathology, will serve as medical director of the gross room and frozen section lab, effective October 1.
Sixto Leal, M.D., Ph.D., Jay M. McDonald Endowed Professor in Experimental Pathology and Division Director, Laboratory Medicine, was recently awarded the Academy of Clinical Laboratory Physicians and Scientists (ACLPS) Ellis Benson Award. Leal received the award at the ACLPS annual meeting on May 31 in Atlanta, Georgia.
Goo Lee, M.D., Ph.D., an associate professor in the Division of Anatomic Pathology, will serve in the roles of interim section head of gastrointestinal (GI) pathology and GI fellowship director, effective Monday, April 14. Lee assumes the role from his predecessor, Sameer Al Diffalha, M.D., Vice Chair for Outreach and associate professor in the Division of Anatomic Pathology, who has served in these capacities since 2017.
Craig Mackinnon, M.D., Ph.D., MSHA, Robert B. Adams Endowed Professor, Division Director, Genomic Diagnostics and Bioinformatics, has been named director of the Clinical Laboratory Improvement Amendments (CLIA) Laboratory by UAB Hospitals, effective immediately.
Cristina Magi-Galluzzi, M.D., Ph.D., Robert and Ruth Anderson Endowed Chair in Pathology, has been named president of the Genitourinary Pathology Society (GUPS), effective April 1.
Breast cancer is one of the most common cancers worldwide and is the second leading cause of cancer death among women in the United States, according to the Centers for Disease Control and Prevention. While advances in technologies have improved our understanding of the molecular alterations that occur during breast cancer onset and progression, user-friendly tools for breast cancer data analysis are scarce. To determine effective treatment options, researchers need access to specimen data.
Craig Maynard, Ph.D., an associate professor in the Division of Molecular and Cellular Pathology, has been named scientific director of the UAB Gnotobiotic Core Facility effective May 15.
The UAB Department of Pathology boasts a long legacy of fostering physician-scientists who are skilled both in clinical practice and research. These practitioners bridge the crucial gap between the lab and patient care, using clinical experience to drive research leading to new treatments and therapies. Their efforts target individualized medicine, propel public health breakthroughs and ensure that scientific discoveries are translated directly to the bedside.
Joanne Murphy-Ullrich, Ph.D., Professor Emerita, Division of Molecular and Cellular Pathology, recently received a patent coin to honor her hard work and dedication as a UAB inventor. The patent coin recognition program is led by the UAB Harbert Institute for Innovation and Entrepreneurship. Beginning this past spring, UAB researchers who are named on a full patent will receive a ceremonial coin stamped with their name and patent number.
Peripheral artery disease is a severe form of cardiovascular disease affecting more than 230 million individuals worldwide. The correlation of peripheral artery disease with diminished blood flow in one or more major arteries has prompted numerous studies aimed at developing therapies that promote the formation of new mature blood vessels, known as neovessels, to restore blood flow. However, despite years of investigations, the medical therapies designed to do so have lacked therapeutic significance.
Shu Chen, Ph.D., Ona Faye-Petersen Endowed Professor in the Division of Neuropathology, and Anupam Raina, Ph.D., a postdoctoral fellow in the Chen lab, co-authored a manuscript that was recently selected as an “Editors’ Pick” by the Journal of Biological Chemistry. The paper, titled, “Skin-derived α-synuclein strains from PD, DLB, and MSA induce distinct intracellular pathology and neurodegeneration,” was selected by the editors for its exceptional contribution to the field.
The UAB Department of Pathology is thrilled to welcome a new faculty member to the Community Practice Pathology Program, directed by Walter Bell, M.D.
A recent study published in Redox Biology by researchers from the UAB Department of Pathology revealed that too much of a good thing, specifically excessive antioxidants, can lead to heart damage. Traditionally, antioxidants and reducing agents have been found to protect cells. The new study “Reductive stress induces unresolved ER stress and proteotoxic cardiomyopathy” authored by Sini Sunny, Ph.D., postdoctoral fellow, and Rajasekaran Namakkal-Soorappan, Ph.D., an associate professor in the Division of Molecular and Cellular Pathology, challenges this notion with their findings.
Laxman Poudel, Ph.D., a postdoctoral trainee in the laboratory of Rakesh Patel, Ph.D., Victor Darley-Usmar, Ph.D., Endowed Professor, Division Director, Molecular & Cellular Pathology, is a recipient of the 2026 American Heart Association Postdoctoral Fellowship.
The Jefferson County Coroner/Medical Examiner’s Office has relocated from the old Cooper Green building to a new 32,000 square foot facility on Leaf Lake Pkwy. Greg Davis, M.D., MSPH, Division Director of Forensic Pathology and Jefferson County Coroner, gave an indication and cut the ribbon at the ceremony in conjunction with the Jefferson County Commission on June 23.
The UAB HSF Robert B. Adams Cytology Laboratory opened recently in Montgomery, Alabama, as part of the Department of Pathology’s Community Practice Pathology Program (CPPP). This laboratory space was donated by the Adams family and renovated by the Department of Pathology. Its opening has been seven years in the making.
Lalita Shevde-Samant, Ph.D., Professor, Molecular & Cellular Pathology, Associate Director for Education and Training, O'Neal Comprehensive Cancer Center, was selected for the 2025-2026 class of the Hedwig van Ameringen Executive Leadership in Academic Medicine® (ELAM) program at Drexel University College of Medicine.
On April 2, the UAB Department of Pathology honored Gene Siegal, M.D., Ph.D., Robert W. Mowry Endowed Professor, Anatomic Pathology, with a symposium featuring guest speakers, colleagues and former mentees of this esteemed pathologist. Siegal joined UAB in 1990 where he was recruited as division director of Anatomic Pathology and professor in the Department of Pathology, a position he held for 25 years.
The Department of Pathology is thrilled to announce the winners of its inaugural 2025 Chair’s Excellence Awards. These awards celebrate faculty members in the Department of Pathology who exude clinical, research and educational excellence. This year’s winners are Hua Guo, M.D., M.S., Chair’s Award for Clinical Excellence, Ming He, M.D., Ph.D., Chair’s Award for Research Excellence, and Valeria Dal Zotto, M.D., Chair’s Award for Educational Excellence. Winners are chosen by Cristina Magi-Galluzzi, M.D., Ph.D., Robert and Ruth Anderson Endowed Chair.
Two distinguished, recently retired faculty members, Peter Anderson, D.V.M., Ph.D., a professor in the Division of Molecular and Cellular Pathology, and Gene Siegal, M.D., Ph.D., Robert W. Mowry Endowed Professor, Division of Anatomic Pathology, have achieved emeritus status in the Department of Pathology. The decision was made by the University of Alabama Board of Trustees on June 6.
Md Akkas Ali and Md Hasanul Banna Siam, trainees in the laboratory of Daniel Tyrrell, Ph.D., an assistant professor in the Division of Molecular and Cellular Pathology, are recipients of 2026 American Heart Association Predoctoral Fellowships.
Granzyme K (GzmK), a family of granzymes implicated in age-associated inflammatory disease, plays a key role in driving chronic inflammation by causing cell death. Despite its significant impact on diseases like asthma, psoriasis and atherosclerosis, current therapies lack focus on GzmK.
UAB ENhancing Research In Cancer-related Health professions (ENRICH) successfully completed its second year of the rigorous 10-week summer program to engage in cancer research at UAB.
The UAB Medical Scientist Training Program (MSTP) hosted the Southeastern Medical Scientist Symposium (SEMSS) on September 27-28 at the UAB Marnix E. Heersink Institute for Biomedical Innovation. SEMSS is a student-run conference designed to bring together both current and aspiring physician-scientists from around the southeastern United States and beyond to share research and build community.
Members from the Department of Pathology gathered to celebrate esteemed milestones amongst colleagues on November 12 to recognize awards and distinctions from the past year. The event was held at the UAB West Pavilion Conference Center to honor outstanding professional service to UAB and the department.
Members of the UAB Department of Pathology gathered for an outgoing reception for residents and fellows on June 5. Faculty, staff and trainees came together to celebrate at The Fennec with dinner and an awards ceremony.
This year April 20-26 is Medical Laboratory Professionals Week, an annual celebration of medical lab professionals and pathologists who play a vital role in health care and patient advocacy led by the American Society for Clinical Pathology. This week’s theme is Mystery Machine of Diagnostics: Another Case Solved by the Lab.
April 14 marks the 12th annual Pathologists’ Assistant (PA) Day, led by the American Association of Pathologists’ Assistants. PAs are often responsible for the efficient and effective operation of the anatomic pathology service and play a critical role in the delivery of healthcare services in both surgical pathology and autopsy by determining patients’ pathologic diagnoses.
Sometimes it’s difficult to make time for hobbies outside of work. Doing so, however, can reduce stress and improve mental and physical health. The Department of Pathology’s Committee for Access and Engagement is on a mission to provide a welcoming environment that fosters the professional and personal development of faculty, staff and trainees. This month, several members from the committee shared some of their favorite hobbies, and why they find them meaningful.
The UAB Department of Pathology recently funded a $500 travel award to Saeed Zakakhosravi, M.S., who presented his research last month.
The UAB Department of Pathology recently funded travel awards to four trainees, Dr. Ashleigh Riegler, Ezgi Sari, Courtney Swain and Resha Rajkarnikar, who will present their research at national meetings this year.
The UAB Department of Pathology recently funded travel awards to two trainees, Sajal Kumar Halder and Dr. Kenneth Long, who will present their research at national meetings this year.
The UAB Department of Pathology hosted its third annual Staff Retreat on Wednesday, April 30, 2025. The day-long event featured an array of speakers and team activities.
The UAB Department of Pathology, in the Marnix E. Heersink School of Medicine, is ranked number 10 for the most funds awarded to a United States pathology department by the National Institutes of Health (NIH) in 2023.
Several members from the UAB Department of Pathology participated in the annual Birmingham Kidney Walk and Celebration on April 5 at Samford University’s Track and Field Complex.
Several members from the UAB Department of Pathology ran on October 11 in Equal Access Birmingham's (EAB) 10th Annual Heart + Sole 5K Run, promoting health and wellness in the Birmingham community. All proceeds from the fundraiser support EAB operations and the EAB Clinic to provide medications and medical services for patients. This year was the run's first time returning in person since before the pandemic.
The UAB Department of Pathology is proud to welcome nine new fellows into the department this summer, joining the four UAB residents or existing fellows who are staying on to complete a fellowship with us.
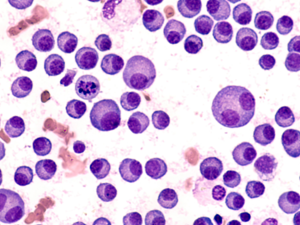
Multiple myeloma is the second most common blood cancer in the United States, and it is more common in men, with an estimated 20,030 new male cases diagnosed in 2025. Multiple myeloma is the accumulation of clonally expanded plasma cells in the bone marrow, with risk factors such as age, race, family history of plasma cell disorder and male sex. It has been unclear why an increased risk of multiple myeloma occurs for men.
The human intestine is home to trillions of microscopic organisms, including hundreds of species of bacteria. In most people, these bacteria co-exist peacefully and contribute to a mutually beneficial relationship, with both human and bacteria deriving important benefits from the other. In certain individuals, however, specific bacteria are believed to provoke inflammation that characterize diseases such as Crohn’s disease.
The Breast Cancer Research Foundation of Alabama (BCRFA) has announced funding for two pre-R01 grants for the 2025 fall cycle of the O’Neal Comprehensive Cancer Center’s O’Neal Invests program. Sooryanarayana Varambally, Ph.D., MBA, a professor in the Department of Pathology's Division of Molecular and Cellular Pathology is a pre-R01 recipient for his project titled, "Evaluation of ATPase TRIP13 as biomarker in breast cancers and investigation of its functions."
Shi Wei, M.D., Ph.D., Division Director, Women’s Health, Section Head, Bone and Soft Tissue Pathology, has been named the Hazel Gore, M.D., Endowed Professor in Women's Health in the Department of Pathology, effective April 4.
Shi Wei, M.D., Ph.D., Division Director, Women's Health, has been named section head for bone and soft tissue pathology, effective April 1. Wei assumes the position from Gene Siegal, M.D., Ph.D., Robert W. Mowry Endowed Professor, who recently retires on December 31, 2024, after 34 years of service in the UAB Department of Pathology.
In 2016, the rare disease Zhu-Tokita-Takenouchi-Kim, or ZTTK Syndrome, was discovered by Erin Eun Young Ahn, Ph.D., a professor in the UAB Department of Pathology’s Division of Molecular and Cellular Pathology, alongside her research team. ZTTK is primarily identified in children and is characterized by intellectual disability, delayed musculoskeletal development and multi-organ anomalies, and is caused by loss of function in the SON gene. This gene creates a DNA and RNA binding protein, SON, that is required for the body to grow and develop naturally.