Case of the Week
- Details
Case History:
A 64 year-old man with history of clear cell renal cell carcinoma s/p nephrectomy (2021) presents with scrotal pain and firmness. Ultrasound reveals a 2 cm solid lesion. Serum tumor markers (hCG and AFP) were normal. The tumor was negative for SALL4, OCT3/4, AFP, and showed focal patchy positivity for pancytokeratin (focal). PAX8 was weakly positive. Additional stains are displayed in the pictures.
- Details
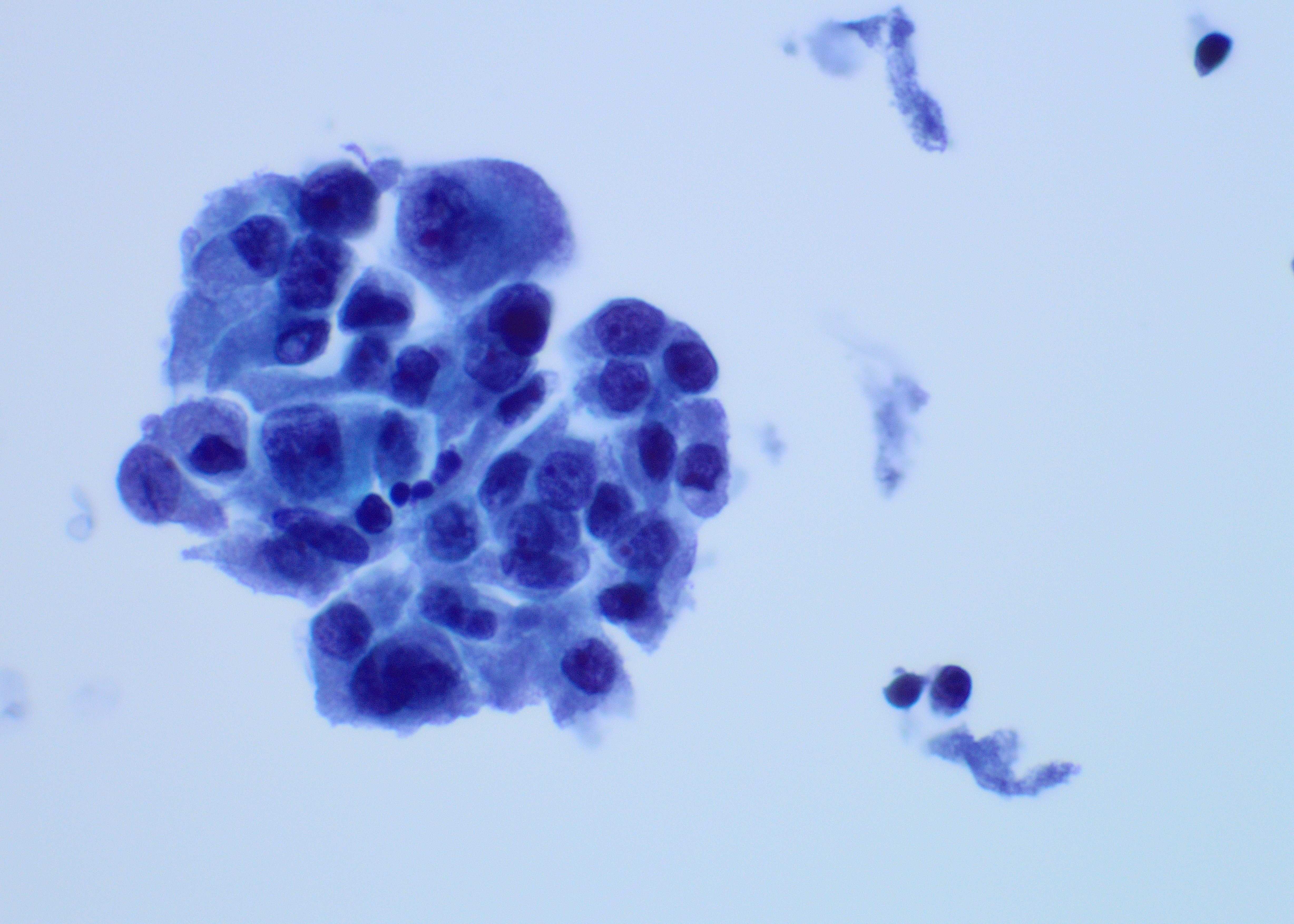
Case History:
A 45-year old man with a history of PTC, tall cell variant (PT3b N1a M0), s/p total thyroidectomy, central neck lymph node excision and radioactive iodine therapy, presents with new neck mass. Figures a & b show FNA of the mass.

- Details
Case History:
A 40 y/o euthyroid female and a 3 cm left-sided thyroid nodule incidentally found.

- Details
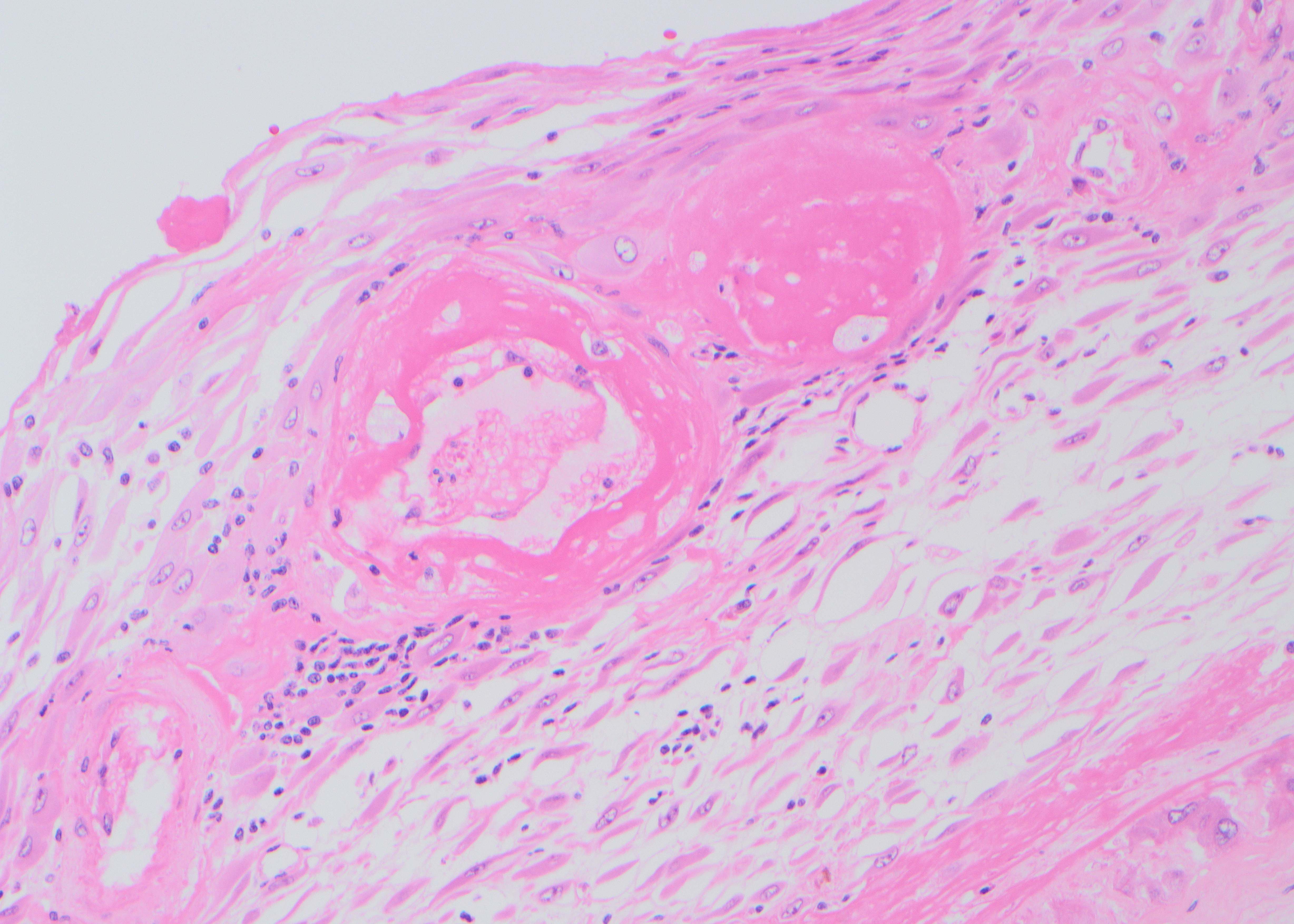
Case History:
40 year old male found unresponsive. No medical or social history. The scene was unremarkable. External examination revealed scars on the forearms and legs. Autopsy revealed 450 g heart, edematous lungs, and firm liver.

- Details
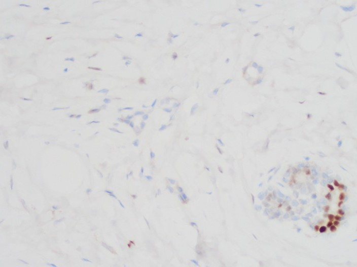
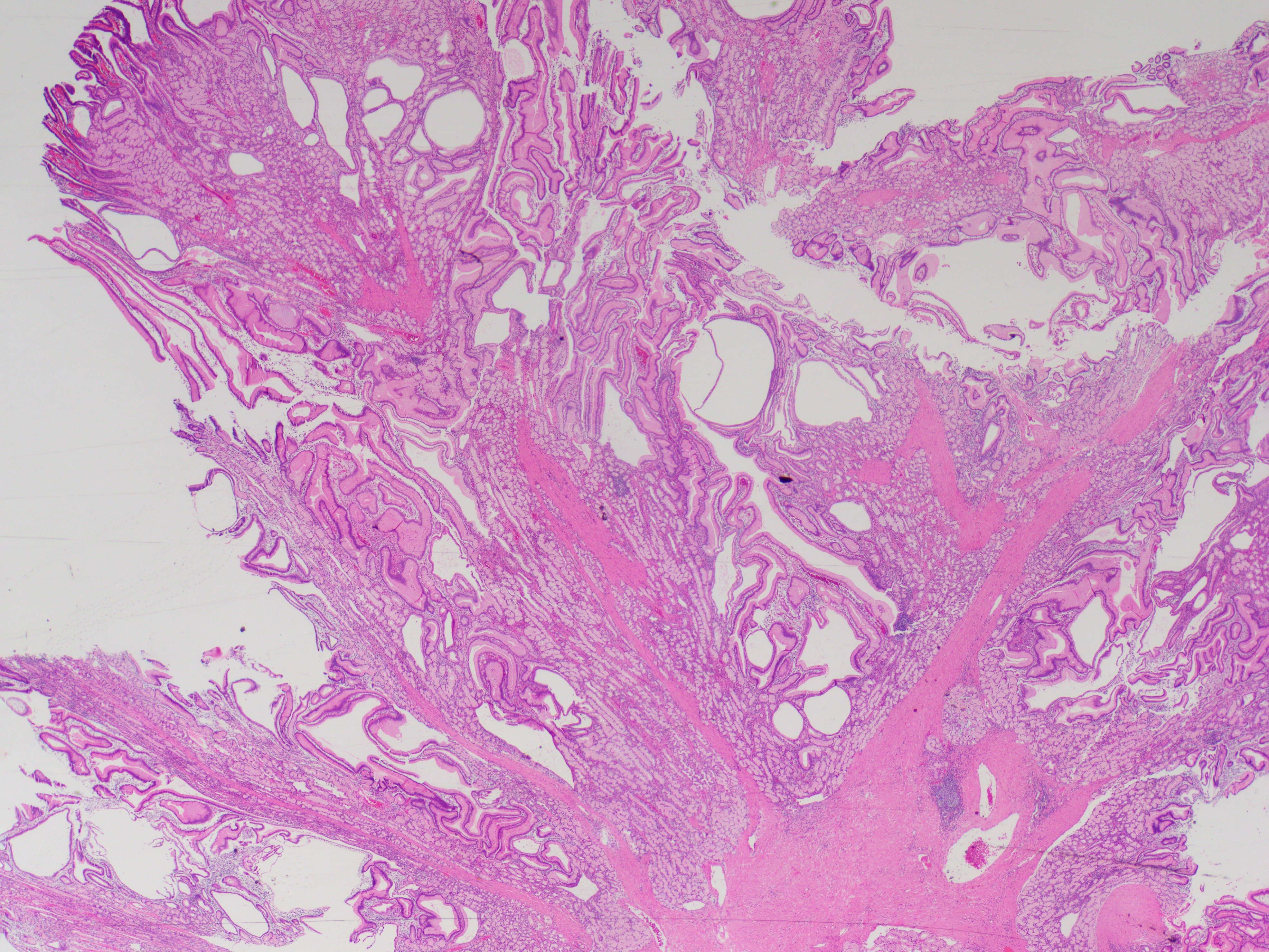
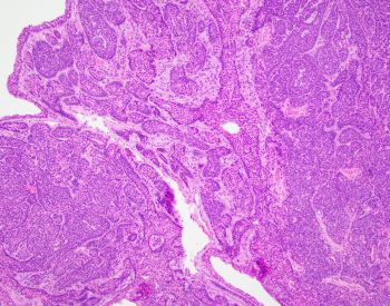
Case History:
A male patient in his mid-thirties with a personal and family history of polyps underwent duodenal polypectomy.

- Details
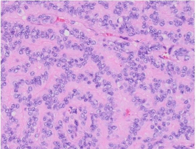
Case History:
81-year-old female with a remote history of follicular lymphoma was undergoing evaluation for possible disease recurrence when an incidental right breast mass was identified.





